Chanh là loại quả rất phổ biến ở nước ta với nhiều chủng loại khác nhau. Ngoài công dụng giúp thêm gia vị thơm ngon cho món ăn, chế biến các loại nước uống tốt cho sức khỏe, chanh còn được chị em phụ nữ sử dụng như một phương thức giữ gìn, chăm sóc sắc đẹp hiệu quả và tiết kiệm. Sau đây là những tác dụng làm đẹp bất ngờ và rất hiệu nghiệm của loại quả nhiều vitamin C này:
1. Rửa mặt

Pha nước cốt chanh với nước lạnh rồi sau đó đựng chúng vào một bình có vòi xịt. Rửa sạch mặt của bạn với nước ấm rồi xịt nước chanh trên làn da của bạn. Nên cẩn thận tránh xịt vào những vùng da có vết cắt hoặc thương tích nào vì nước chanh loãng có thể khiến bạn bị đau đớn.
Hoặc, bạn cũng có thể vỗ nhẹ nước chanh loãng lên mặt của bạn vào mỗi sáng sớm như một thói quen rửa mặt nhằm giúp làn da bạn sạch sẽ và thông thoáng suốt cả ngày.
2. Làm trắng da

Với nguyên liệu gồm 1 thìa gel lô hội, 1 thìa mật ong và 1 thìa nước chanh. Trộn đều những nguyên liệu trên thành một hỗn hợp và đắp lên mặt sau khi đã rửa sạch khoảng 20 phút. Bạn có thể thực hiện 2 lần/tuần. Đây là một bí quyết làm trắng da được nhiều người áp dụng bởi sự đơn giản của nó.
Nếu bạn có làn da khô, hãy thay gel lô hội bằng dầu olive.
3. Trị mụn đầu đen

Mụn đầu đen ở mũi sẽ bị đánh bay nếu như bạn sử dụng quả chanh quen thuộc. Cách làm khá đơn giản, chỉ cần vắt nước cốt chanh ra một cái chén, thêm chút nước lọc để pha loãng rồi dùng miếng bông tẩy trang nhúng vào nước chanh rồi đắp lên mũi.
Sau 15 phút thì gỡ bỏ miếng bông và rửa sạch bằng nước mát. Cách này sẽ giúp bạn trị sạch đám mụn đầu đen mà không cần nặn đau đớn.
4. Trị hôi, thâm nách

Vùng da dưới cánh tay cực kỳ nhạy cảm do các tác động từ việc waxing, cạo, nhổ lông nách khiến chúng thâm và sẫm màu. Tuy nhiên, bạn có thể dùng chanh để loại bỏ các vết thâm và mùi hôi ở vùng da dưới cánh tay bằng cách, cắt đôi quả chanh rồi chà xát nhẹ lên đó.
Sau khoảng 5 phút thì rửa lại với nước, thực hiện vài lần các vết thâm sẽ biến mất hoàn toàn.
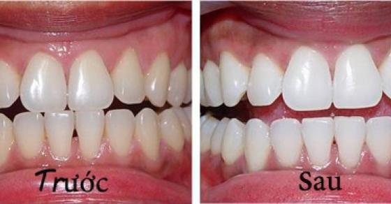
5. Làm trắng răng

Không nên chà xát trực tiếp miếng chanh lên răng, bởi chất axit trong chanh có thể gây ảnh hưởng đến men răng. Hãy vắt nước chanh pha loãng với nước và dùng bàn chải chà hỗn hợp này lên răng. Sau một thời gian, bạn sẽ nhận được một kết quả khả quan.
6. Chữa hôi miệng

Mật ong có chứa chất kháng sinh có tác dụng diệt khuẩn và ngăn ngừa chúng phát triển kết hợp cùng với khả năng khử mùi tuyệt vời của chanh sẽ giúp bạn nhanh chóng lấy lại tự tin. Công thức chuẩn là 10ml mật ong pha với 30ml chanh, uống từ 1-2 thìa hỗn hợp này, 2 lần trong một ngày.
7. Trị thâm môi

Đôi môi bị thâm do tiếp xúc với ánh nắng hay sử dụng son chứa nhiều chì khiến bạn tự ti mỗi khi giao tiếp. Vấn đề này sẽ được giải quyết tận gốc nếu như trước khi đi ngủ hãy thoa vài giọt chanh lên môi. Sáng hôm sau thức dậy bạn sẽ thấy điều kì diệu, đôi môi bớt thâm và trở nên hồng hào so với lúc trước.
8. Trị gàu

Không chỉ làm trắng da, trị thâm nách hay môi… chanh còn có thể trị gàu hiệu quả mà không cần dầu gội chuyên dụng. Hãy vắt nước cốt của 3 quả chanh rồi pha với nước ấm, cho vào bình xịt. Xịt hỗn hợp này lên toàn bộ mái tóc đủ ẩm, để khô tự nhiên sau đó gội lại với dầu gội dưỡng ẩm. Phương pháp này sẽ giúp mái tóc của bạn vừa hết gàu, ngứa lại bóng mượt và óng ả hơn.
9. Mờ vết thâm

Sẹo thâm ở chân hình thành do da bị tổn thương sâu vì nhiều nguyên nhân như bị ngã, bị côn trùng (muỗi, bọ xít…) đốt, dấu vết của thủy đậu… Để loại bỏ sẹo thâm, bạn xát vỏ chanh vào chỗ bị sẹo, ngày hai lần, mỗi lần từ 5 – 7 phút. Nên thực hiện cách này sau khi tắm xong và cứ làm liên tục trong một tuần sẽ thấy những chuyển biến tích cực.
10. Móng tay chắc khỏe

Chanh chứa axit sẽ giúp tẩy hết các vết ố vàng hiệu quả. Sau khi rửa sạch tay, chân, bạn lấy một bát nước ấm, vắt vài giọt chanh tươi vào rồi ngâm tay, chân trong khoảng 5-10 phút. Sau đó, tận dụng vỏ chanh còn lại để chà móng một lần nữa. Đừng vội nản lòng nếu tuần đầu tiên chưa có kết quả rõ rệt. Kiên trì làm hàng ngày, bạn sẽ có bộ móng khỏe và sáng hơn, không còn vàng hay xỉn màu.
11. Làm mềm các vết chai khuỷu tay và đầu gối

Chanh có thể tẩy tế bào da chết trên khuôn mặt nên nó càng có tác dụng tích cự đối với những vùng da khô ráp cứng đầu như khủy tay, đầu gối… Hãy cắt đôi quả chanh, rắc một chút bột baking soda rồi chà trực tiếp lên khuỷu tay. Để khoảng 5-10 phút thì rửa lại với nước sạch, lau khô bằng khăn mềm rồi thoa kem dưỡng ẩm.
Nguồn: dkn.tv
© 2025 | Tạp chí NƯỚC ĐỨC